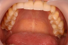
治療例ビフォアー&アフター - 治療例4

初めは矯正歯科希望でいらしてくださった50代の患者様です。

もちろん矯正治療する選択肢もありましたが、
歯が欠けていることと年齢的なこととを考えて、セラミックにて治療するプランをご提案しました。

奥歯の金属部分もあわせて治療を行いましたが、治療期間は約1.5ヶ月とスピーディに終了しました。