治療例ビフォアー&アフター - 治療例
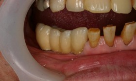
インプラントを使用して、入れ歯なしでもよく噛める状態にしました。
今後、残りの歯が痛むリスクを考えた位置に計画して埋入しています。
将来的なリスクを軽減していつまでもご利用して頂けるように工夫しています。
将来のリスクを考えると下の前歯を抜いてしまって下全体をインプラントで治療する方が良いのですが、
患者さんのご希望でこのような形を取りました。
今回治療したところ以外の歯には歯周病が進行しているところがありますが、
現在のところ定期的なメンテナンスで様子を見ているところです。
