治療例ビフォアー&アフター - 治療例4

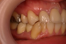
今まで気になっていた前歯の差し歯や奥歯の銀歯をセラミックにて治療しました。
噛みやすさや患者さんの経済状況から一気に治療するのではなく、段階的に治療しました。
そのため実際には目立ちにくい、上の奥歯などはまだ銀歯になっている状態です。